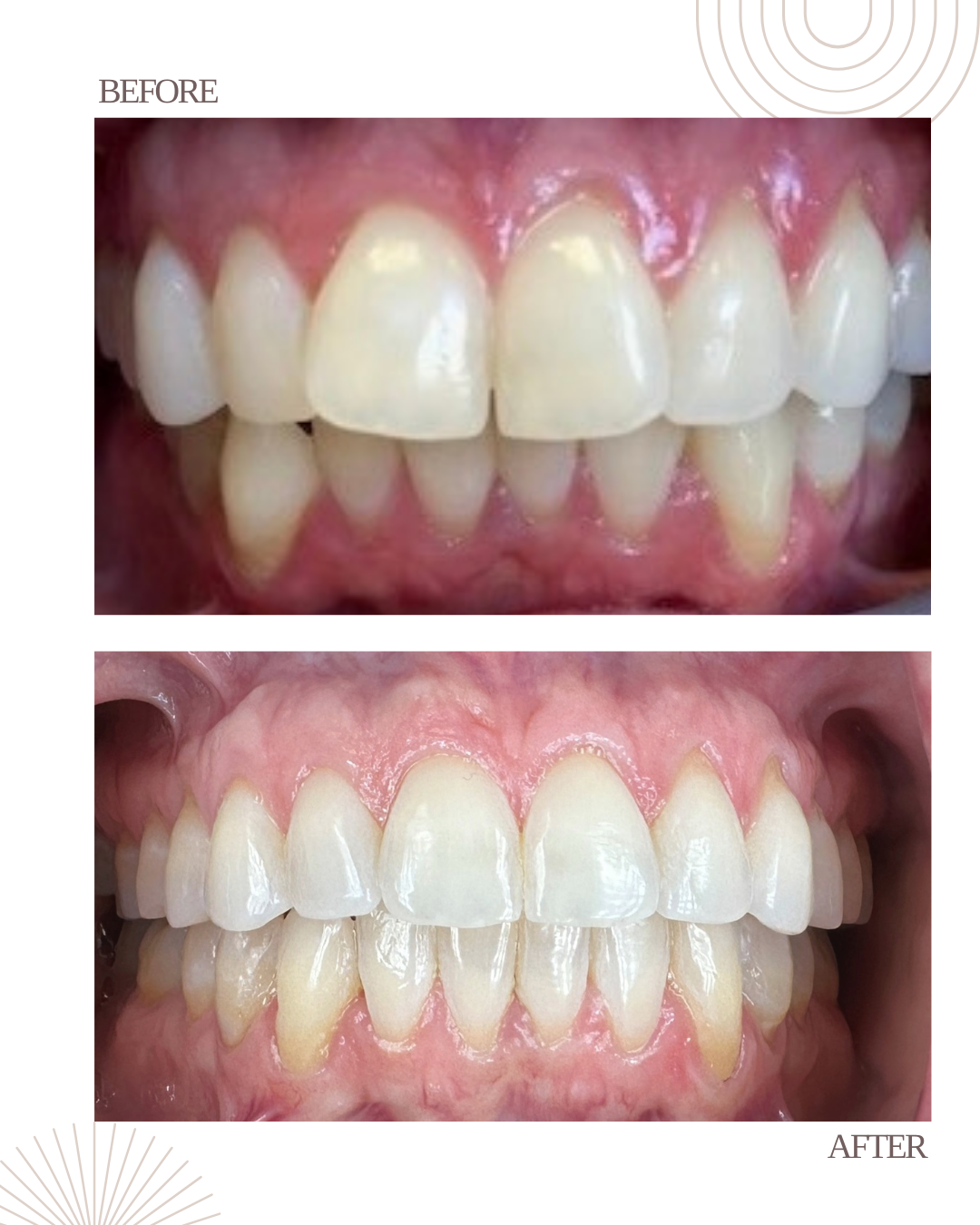
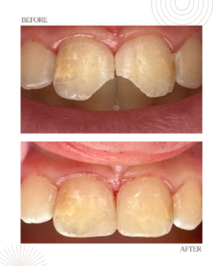
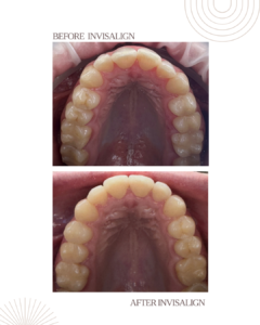
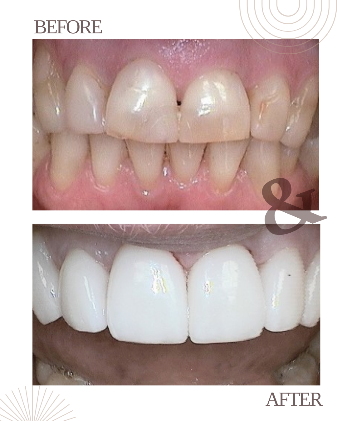
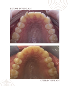
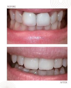
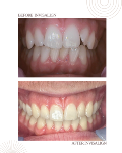
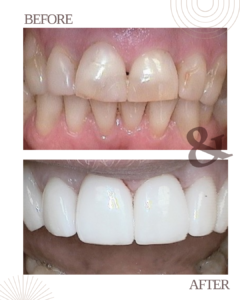
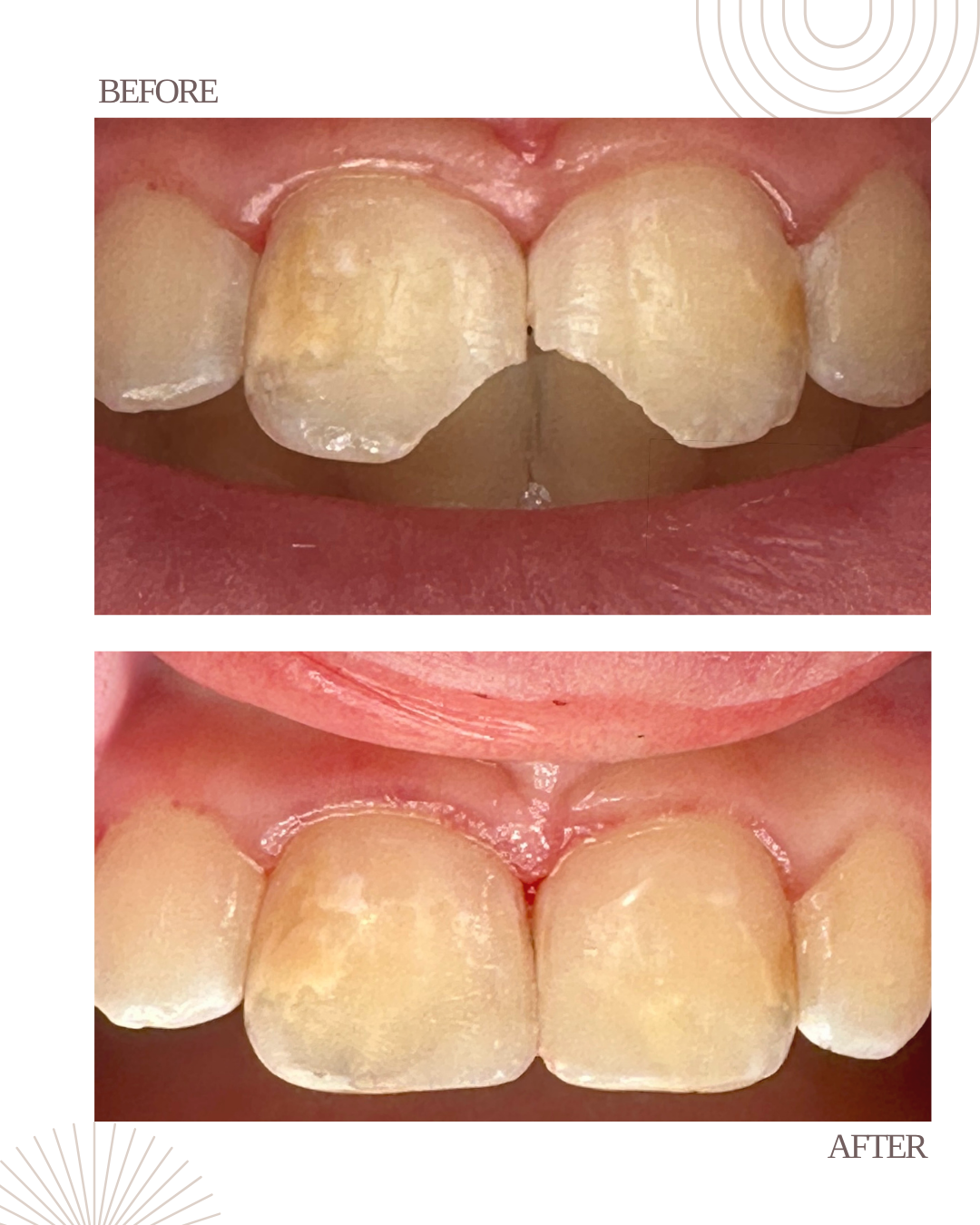
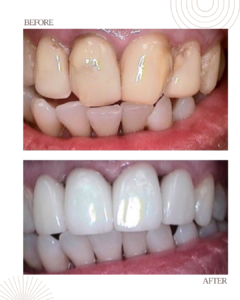
REAL SMILES Before & After Explore our gallery showcasing smile upgrades featuring ceramic dental crowns, dental veneers, natural dental bonding, invisalign® (Before & After), teeth whitening, and minimally invasive dental procedures.